由於現在網路無遠弗屆的關係,很多在世界各地想了解瓷牙貼片的讀者都可以看到我的網站 (由衷感謝大家的支持),也愈來愈多世界各地的朋友特地飛到台灣,來桃園找我做瓷牙貼片。
今天跟大家分享一個從新加坡專程飛來找我做瓷牙貼片治療的患者 Vivian,她希望透過上排瓷牙貼片達成美觀重建的夢想,更特別的是,想做瓷牙貼片的她已經整整考慮三年了! 看看她的瓷牙貼片美齒故事吧!
海外患者 瓷牙貼片流程 – 遠距評估
要做瓷牙貼片,最重要的事之一就是是跟醫師的溝通過程,新加坡有大概七成以上的華人比例,所以跟我們美學團隊溝通是沒有問題的。
由於Vivian並非居住在台灣,是屬於海外患者,所以第一步就會先走我們特別為海外患者設計的評估流程,我們會先透過遠距的方式協助患者評估,細節可以參考 “海外患者專屬瓷牙貼片評估+瓷牙貼片一日完成流程” 這一篇文章。
沈醫師提醒:『所有的瓷牙貼片療程皆屬於客製化治療,都必須先經過詳細的檢查評估過後,才可以安排時間治療,大家不要突然飛到台灣跑到診所來找我說要治療,這樣有可能會白跑一趟唷!!』

第一次Vivian來到桃園當代牙醫數位全瓷中心找我時,她就跟我說:『沈醫師,其實我已經想做瓷牙貼片想了三年了!所以我做了很多的功課,但一直沒有看到我心中覺得理想的醫師,直到我看到你的網站…』
其實Vivian講完這個我已經感動到不行了,一方面是我們團隊的努力被肯定感到非常欣慰,另一方面是覺得可以傳達正確且正向的瓷牙貼片知識給民眾而感到很開心 (因為現在網路上實在太多瓷牙貼片的迷思或是一些莫名其妙的觀念,有些是過時的瓷牙貼片資訊,有些則是錯誤的訊息,我之後有機會跟大家分享)。
海外患者 瓷牙貼片流程 – DSD數位微笑設計分析
來到診間後,針對要做瓷牙貼片的患者,我們都會走過標準而且嚴謹的資料收集跟DSD數位微笑設計分析。首先,我們由各種不同角度來分析Vivian的牙齒現狀 (Part1-各角度口內照):



海外患者 瓷牙貼片流程 – 牙齒狀況分析與治療計劃
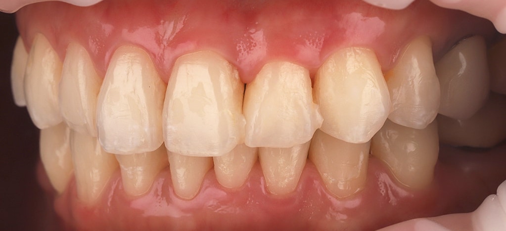
在術前檢查與瓷牙貼片治療計畫規劃階段,我們可以看到Vivian 的口內牙齒狀況有下列幾個問題影響她的笑容:
1. 左右門牙不對稱:
從正面可以明顯看出Vivian的正中間門牙左右兩顆是不對稱的,由於照片左邊的那顆門牙有一點外翻的緣故,導致視覺上左邊那顆門牙看起來就比較窄。
治療計畫擬定:藉由多顆瓷牙貼片的治療,騰出更多可以運用的空間,讓正中間門牙的對稱性更協調,解決門牙不對稱的問題。
2. 前牙6顆的牙縫皆有樹脂填補過的痕跡:
從左側與右側方向的照片皆可以看出,兩兩相鄰牙齒的牙縫,有不適當的樹脂填補物,這不僅會造成清潔上的困難,也會對笑容的美觀性產生極大的扣分。
治療計畫擬定:在瓷牙貼片治療過程中,同步移除多餘且不良的樹脂填補物,將兩兩相鄰的牙齒之間都改為光滑平順的陶瓷貼片,同時改善清潔與美觀問題。
3. 照片左邊的犬齒及小臼齒 (由中間往左數第三顆與第四顆),以及右邊犬齒 (由中間往右數第三顆),牙齒長軸皆屬於往外飆的類型,在牙齒中段部份型態也太鼓,造成微笑曲線參差不齊,影響整體的笑容美觀性。(要做瓷牙貼片,絕不單單只是為了讓牙齒變白,更重要的是瓷牙貼片能改變牙齒形狀跟大小,為您量身訂制出專屬的完美微笑曲線!!)
治療計畫擬定:將過鼓的牙型位置,藉由修磨相較於其他牙齒較多的琺瑯質 (其實也很少,大概0.07~0.1cm) ,來取得所需要的瓷牙貼片空間,得以改善該牙齒長軸與牙型。
這裡要注意的是我還是選擇用瓷牙貼片,而不是用研磨量更高的全瓷冠去解決,我覺得能用瓷牙貼片幫患者保留最多齒質,同時兼顧美觀與健康是最好的解法! 有些患者來找我做瓷牙貼片時,還說其它家建議用全瓷冠,基本上如果是健康的牙齒,以Vivian這種情況是不需要用到全瓷冠的喔! (全瓷冠會磨掉大量健康的牙齒,有興趣的可以參考 “陶瓷貼片20個常見問題,全瓷冠牙齒美白貼片推薦必看” 這篇文章的Q6跟Q12。
接下來我們來看口外的部分,也是一樣從不同角度來分析,口外的微笑分析是很重要的,因為直接影響第一眼的外在美觀,也是決定完美微笑曲線能否自然呈現的重要因素。



1. 由正面照可以看到左右兩側犬齒已經過長頂到下唇內,需要微調,讓微笑曲線更優美
治療計畫擬定:藉由貼片外型的微調可以將微笑曲線調整至適當位置
2. 由兩側側面照更可以看出犬齒與小臼齒的牙齒長軸往後方歪斜
治療計畫擬定:藉由牙齒長軸的調整可以將貼片長軸改至理想位置
3. 牙齒顏色偏黃
治療計畫擬定:選擇BL色系的美白瓷塊來製作瓷牙貼片,改善顏色問題
沈醫師提醒:『當要治療前牙美觀區時,如果你去的院所沒有參考你的口外或是人像照片,那非常有可能會做出很整齊但放入口內卻是歪斜,因為他忽略了嘴唇或是微笑肌肉在笑容整體上的比例,很容易導致看口內設計圖ok,但術後的瓷牙貼片裝上去後看起來很不協調,必須要重做。』
海外患者 瓷牙貼片流程 – 瓷牙貼片牙齒美白療程
接下來就是依序完成當代牙醫的一日美白貼片流程,我們來看看治療完成後裝上瓷牙貼片的樣子,是不是看起來很自然又優雅~ (每次看到患者術後裝上成品開心滿意的樣子,就是我們最開心的時候~ 很不真實的美牙啊~~ 突然想到卡通蠟筆小新~~)



綜合說明:
1. 正中門牙已經調整到左右對稱
2. 兩兩相鄰的牙齒,填補蛀牙的舊樹脂已經移除,現已非常好清潔
3. 兩側犬齒及小臼齒的長軸與牙型已修正成為往中心線傾斜
4. 牙齒顏色以提升至BL美白色系,切端染透明層,讓牙齒看起來更精緻自然、更像真牙
放上前後比較圖,可以一目瞭然看到瓷牙貼片術前術後的對比,相信Vivian之後也會像其它朋友一樣,常常對著鏡子笑~~
![]() |
![]() |
![]() |
![]() |
![]() |
![]() |
![]() |
![]() |
總結:
這次Vivian來台灣,實際到我診所完成整個瓷牙貼片療程只花了兩天。
第一天就是來桃園當代牙醫,進行瓷牙貼片一日完成的療程 (因為有線上評估流程,所以大致上的療程問題都已經確定)。
第二天就是隔天回診追蹤 (我都會要求我的患者在回國之前再給我檢查一次確認沒問題,才能放他回國 XD)。
這些國外來的患者,如果有多餘可以停留的時間,我們也會介紹台灣知名的景點(台灣的好一定要讓更多人看到啊~~),讓她們帶著她嶄新的美麗笑容,拍很多美麗的照片,留下更美麗的回憶。
數位化的一日貼片流程,確實幫助到很多不僅是台灣的患者,也包含很多海外的患者。不少海外患者都偷偷跟我說,其實他們特地來我這邊做瓷牙貼片再加上來回機票,都遠比在當地做還要便宜!就更別說他們當地所做出來的瓷牙貼片美感令人不敢恭維 (有很大一部分是因為該地區沒有專攻瓷牙貼片美學的醫師)。所以他們都認為台灣的患者看牙很幸福,台灣在牙科這一塊,不僅醫療水準超越其他國家很多,價格又是俗擱大碗。
接著之後我會繼續分享更多不同國家的患者來台灣找我做瓷牙貼片療程,也順道讓國外知道台灣的瓷牙貼片的醫療水平也有相當的水準!
當然,我跟團隊也會不斷地自我要求與精進,提供更棒的牙科美學療程來服務大家。








